Moreno E, Caniego T, Ruz I, Carretero I, Cabezas E, Cortés A, Mendiola M, Redondo A, Muriel A, Hardisson D, Palacios J, Pérez-Mies B. MDM4 amplification as a potential predictor of risk of recurrence in early-stage low-grade endometrial carcinoma

INT J GYNECOL CANCER. 2026

"MDM4 Amplification May Signal Recurrence Risk in Low-Grade Endometrial Cancer". - Dr. Esther Moreno-Moreno & Dr. Belén Pérez-Mies

Summary:

Objective: This study aimed to assess the frequency of MDM4 amplification in endometrial carcinomas and its association with clinicopathological features, particularly relapse risk in early-stage low-grade endometrioid endometrial carcinoma.

Methods: We conducted a case-control study including 110 stage I to II low-grade endometrioid endometrial carcinomas (39 relapsing and 71 non-relapsing tumors) and an additional cohort of 82 high-grade endometrial carcinomas. An independent retrospective cohort of 194 early-stage low-grade endometrioid endometrial carcinomas was used to validate the results. MDM4 amplification was analyzed by fluorescent in situ hybridization. Gene expression of MDM4 and GADD45A was measured by quantitative real-time polymerase chain reaction. Immunohistochemistry assessed hormone receptor status, p53, and mismatch repair proteins. POLE and CTNNB1 mutations were evaluated by Sanger sequencing.

Results: MDM4 amplification was detected in 31 of 186 tumors (16.7%): 14 of 104 low-grade endometrioid endometrial carcinomas (13.5%) and 17 of 82 high-grade endometrial carcinomas (20.7%). Among low-grade endometrioid endometrial carcinomas, amplification was significantly more frequent in relapsing tumors (11/38, 28.9%) than in non-relapsing ones (3/66, 4.5%) (p < 0.01). Concordant MDM4 amplification status was observed between biopsies and hysterectomy samples. In some relapsing cases, amplification emerged during disease progression. Multi-variable Cox regression identified MDM4 amplification as an independent predictor of relapse, alongside lymphovascular space invasion, tumor necrosis, and myometrial invasion. In the independent cohort, MDM4 amplification was associated with progression-free survival.

Conclusions: Our study suggested that MDM4 amplification is a potential predictor of the risk of recurrence in early-stage low-grade endometrioid endometrial carcinoma that can be easily evaluated in endometrial samples.

Why do you highligth this publication?

It identifies MDM4 amplification as a potential independent predictor of recurrence in early-stage low-grade endometrial carcinoma, while also proposing a feasible biomarker (via FISH) that could support improved risk stratification in clinical practice.

Publication commented by:

Dr. Esther Moreno-Moreno & Dr. Belén Pérez-Mies
MOLECULAR PATHOLOGY OF CANCER GROUP. IRYCIS & CIBERONC

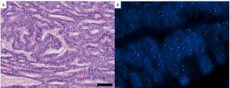
Low grade endometriod endometrial carcinoma (A, H&E) with amplification of MDM4 (B, FISH)
Altmetrics, 19th of March 2026

Documentos y enlaces